Multi-Channel Dual Tuned Head Array 7 T
Description
▪ 31P, 23Na or 13C spectroscopy / imaging of the brain, other nuclei on demand
▪ non-proton quadrature polarization for transmit
▪ up to 32 channel non-proton receive array for increased SNR performance
▪ 1H transmit / receive with quadrature polarization
▪ open design for fMRI studies
▪ approx. housing dimensions:
dual tuned volume resonator OD 36.5 cm
receive array: ID 20 cm x 22 cm (oval)
▪ sliding mounting mechanism for patient access
For a quotation on this coil please contact us.
Regulatory requirements for medical devices will vary by country and MR system.
Please, contact us at info@rapidbiomed.de or info@rapidmri.com (USA, Canada, and
South America) to determine approval status for products mentioned on this page.
Important Note: For Siemens Terra MR systems a 32-channel version of this product is available exclusively through SIEMENS Healthcare.
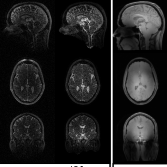
Image Courtesy: J.M. Kommen, DKFZ Heidelberg, Germany
23Na MRI data from 30-channel array data reconstructed using ADC (1st column) and B1– corrected ADC (2nd column). Anatomical details become clearly visivible. The 1H data displays good field homogeneity (3rd column).
Datasheet
Publications
T. Wilferth et al.: X-Nuclei MRI on a 7T MAGNETOM Terra: Initial Experiences.
MAGNETOM Flash (76) 1/2020, 45-51
with RAPID Biomedical X-nucleus head arrays P-XQS-X32LE-HQ-070-01862 (23Na/1H) & V-YQ-XQ-070-01823-001 (39K/23Na)
J. Lommen et al.: Comparison of a 30-channel head array with a birdcage for 23Na MRI at 7 Tesla.
ISMRM 2016 Singapore, Magna Cum Laude Award, Abstract ID 1663 (2016)
with RAPID Biomedical 30-channel 23Na/1H head array # P-X30LE-070-01658-001 & V-XQS-HQ-070-01657-001
F. Resmer et al.: A 30 Channel Rx Array for 23Na Imaging of the Head at 7 Tesla.
UHF Meeting Berlin (2016)
with RAPID Biomedical 30-channel 23Na/1H head array # P-X30LE-070-01658-001 & V-XQS-HQ-070-01657-001
